성장기 자녀들의 위아래 치아들이 서로 맞물리지 못하고 벌어져있는 개방교합은 골격문제이거나 치아문제가 원인인 경우들이 있어서
이에 대해 명확히 진단해서 맞춤치료를 해야 합니다. 특히 손가락을 빨거나 혀를 내미는 습관에 의해 발생하기도 해서 이러한 점까지
세심히 파악하고 치료에 반영해야 합니다.
고운얼굴 이치과에서는 다양한 성장기 교정치료 경험이 풍부한 치과교정과 전문의가 정밀한 진단시스템을 이용해 근본적 원인에 대해
진단하고 필요한 교정장치와 혀 내미는 습관 교정장치 등 부가적 장치를 교정단계별로 맞춤 적용해가며
만족스러운 교정치료를 해드리고 있습니다.
본원에서 진료받은 동일 환자분의 사진으로 치료 전 2016년 1월 12일~치료 후 2017년 9월 16일 동일 조건하에 촬영하였습니다.

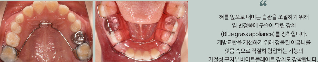
8세 아이로, 앞니 사이가 벌어지고 위아래 치아들이 맞물리지 못하는 개방교합입니다.
이 경우는 혀 내미는 습관에 의해 혀가 앞니를 앞으로 밀어서 발생한 것입니다.





본원에서 진료받은 동일 환자분의 사진으로 치료 전 2014년 12월 19일~치료 후 2016년 1월 16일 동일 조건하에 촬영하였습니다.


교정치료는 개인마다 치료결과에 차이가 있을 수 있으며 치아표면 탈회, 잇몸염증, 치근흡수 등이 발생할 수 있으니 의료진과 충분히 상담하세요.
이메일 무단 수집거부
본 웹사이트에 게시된 이메일 주소가 전자우편 수집 프로그램이나 그 밖의 기술적 장치 를 이용하여 무단으로 수집되는 것을 거부하며, 이를 위반시 정보통신망법에 의해 형사 처벌됨을 유념하시기 바랍니다.
< 정보통신망 이용촉진 및 정보보호 등에 관한 법률 >
제50조 2 (전자우편주소의 무단 수집행위 등 금지)
① 누구든지 전자우편주소의 수집을 거부하는 의가사 명시된 인터넷 홈페이지에서 자동으로 전자우편주소를 수집하는 프로그램 그 밖의 기술적 장치를 이용하여 전자우편주소를 수집하여서는 아니된다.
② 누구든지 제1항의 규정을 위반하여 수집된 전자우편주소를 판매·유통하여서는 아니된다.
③ 누구든지 제1항 및 제2항의 규정에 의하여 수집·판매 및 유통이 금지된 전자우편주소임을 알고 이를 정보 전송에 이용하여서는 아니된다.
제65조 2 (벌칙) 다음 각호의 1에 해당하는 자는 1천만원 이하의 벌금에 처한다.
① 제50조제4항의 규정을 위반하여 기술적 조치를 한 자
② 제50조제6항의 규정을 위반하여 영리목적의 광고성 정보를 전송한 자
③ 제50조 2의 규정을 위반하여 전자우편주소를 수집ㆍ판매ㆍ유통 또는 정보전송에 이용한 자
[일부개정 2002.12.18 법률 제06797호]